NEWS & COLUMN
お知らせ・コラム
犬の健康診断のすすめ
【目次】
なぜ犬に健康診断が必要なの?
人と同様に定期的な健康診断は、病気の早期発見・早期治療や健康管理においてとても重要です。病気によっては、初期症状がほとんどない場合もあり、ご家族が異変に気付いた時には深刻な状態にまで病気が進行してしまっている場合もあります。少しでも早く病気を発見し治療を開始するためにも、定期的な血液検査や超音波検査などの健康診断をおすすめしています。
犬の健康診断は何歳から受けた方がいいの?
犬の成長スピードは早く、1歳の小型犬は人間の年齢に換算すると18歳、1歳の大型犬は12歳にあたります。そのため、健康診断は1歳ごろから受け始めることが理想です。若い時期に発生しやすい病気や、一度発症すると投薬を続けなければならない病気もあるため、早めに健康診断を始めることが大切です。
犬の健康診断はどれくらいの頻度で受ければいいの?
人に換算すると小型犬は1年に4歳、大型犬は1年に7歳の歳を取ると言われています。そのため、健康診断は1年に1回以上受けることをおすすめします。また、7歳以上の高齢期の犬は体力が落ちて病気にかかりやすいため、半年に1回以上健康診断を受けることが理想です。
犬の健康診断にはどんなものがあるの?
なぐら動物病院では、ご家族にペットの健康管理をしっかり行っていただけるように、充実の健康診断「わんにゃんドックコース」をご用意しています。年齢や健康状態に応じて、健康診断コースをお選びください。またご希望に応じて、心臓超音波検査や甲状腺ホルモン検査などの詳細な検査も追加することができます。健康診断コースにお悩みの方はお気軽にご相談ください。



犬の健康診断の主な検査の紹介
身体検査
視診・触診・聴診等で全身の状態をチェックし、心雑音やしこりなどの病気のシグナルを発見します。
血液検査(完全血球検査・血液化学検査)
体格や正確に応じてストレスにならないように看護師が安全に保定しながら、迅速に採血を行います。完全血球検査では、貧血や脱水、感染、炎症の有無を確認します。血液化学検査では肝臓や腎臓、膵臓などの内臓の異常や血糖値・中性脂肪・コレステロールなどを調べます。
腎機能マーカー検査
腎機能マーカー(SDMA)は、従来の腎臓の血液検査よりも早期の腎臓病を発見することができます。
心不全マーカー検査
心不全マーカー(proBNP)は、心臓病や心不全のリスクを早期に評価できる検査です。症状の示さない早期の心臓病などを発見することができます。
尿検査
試験紙を用いた尿の一般性状検査と、尿沈渣の顕微鏡検査を行い、腎臓の機能や結石・膀胱炎の徴候を確認します。
腹部超音波検査
肝臓や胆嚢、脾臓、腎臓、副腎、膀胱、消化管、リンパ節、前立腺などを確認し、形態や大きさの異常やしこりなどの有無をチェックします。
レントゲン検査(胸部・腹部)
腎臓や肺、心臓などの大きさや状態、頸椎や骨格の状態、結石の有無などを確認します。
健康診断の1日の流れは?
健康診断には事前の予約が必要です。健康診断の当日は、朝ご飯を与えず10:30頃までにご来院ください。Aコースは診察時間内に、B・Cコースは半日お預かりで健康診断を行います。B・Cコースのお迎えは16時以降(土日祝は16~17時の間)にお越しください。B・Cコースは健康診断終了後にご飯を与えるので、普段食べているフードや服用している薬をお持ちください。
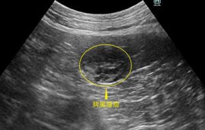
健康診断で早期に病気が発見できた症例
当院で健康診断を受けていただき、病気を早期発見・治療することができた症例をご紹介します。
9歳の柴犬の子が、わんにゃんドックの腹部超音波検査で脾臓に1.5cm大のしこりが見つかりました。症状はありませんでしたが、脾臓の腫瘤は悪性腫瘍の可能性もあるため、後日脾臓摘出術を行いました。摘出した脾臓腫瘤の病理検査は結節性過形成で、幸い腫瘍ではありませんでしたが、結節性過形成は大きくなると破裂して腹腔内出血を起こすことがあります。今回は健康診断で早期に脾臓腫瘤が発見できたことで、腹腔内出血もせず早期に治療を行うことができました。

健康診断の特典について
なぐら動物病院では、健康診断にお申し込み後、爪切りや予防接種、診療費・治療費・入院費の割引などを1年間受けることができる特典をご用意しています。健康な犬も爪切りや予防接種などの定期的なケアを行うことが大切なため、合わせてご利用ください。(※特典は時期よって異なる場合があるため、詳細はご来院時にお問い合わせください)
最後に
犬の健康診断は健康を守るために欠かせないものです。定期的な健康診断によって、病気の早期発見・早期治療を行うことができ、より長い時間をご家族と健康で過ごすことができます。健康診断の詳細やご不明な点はお気軽にお問い合わせください。
わんちゃんの健康診断が気になっている、健康診断を受けてみたいという 愛知県東郷町の飼い主様、名古屋市緑区天白区、日進市、豊明市、みよし市近郊の方は「なぐら動物病院」までお問い合わせください。
獣医師 八竹直哉