NEWS & COLUMN
お知らせ・コラム
犬と猫の歯周病(歯垢・歯石の蓄積による炎症)
【目次】
こんな症状が見られたら歯周病かも?
・口が臭い
・歯が揺れている
・歯ぐきから出血した
・歯垢や歯石がついている
・頬(目の下)が腫れた
・歯肉が赤い
・顎が腫れた
・口を触るのを嫌がる
・食べ方がおかしい
・よだれが出る
・鼻水やくしゃみが出る
このような症状に心当たりはありませんか?当てはまることがあればその子は歯周病かもしれません。
3歳以上の約8割のわんちゃんは歯周病を患っていると言われています。特に中〜高齢で多く認められ、その中でも小型犬は顎の大きさが小さく、歯と歯の間が狭いため、汚れが溜まりやすくなる傾向にあります。
歯周病ってなに?虫歯とは違うもの?
歯周病とは、歯の表面に細菌の塊である歯垢や歯石がつくことにより、歯を支えている周囲の歯肉に炎症を起こす病気のことです。炎症は最初、歯肉のみに起こりますが、これを放置していると、炎症は歯肉以外の組織まで及びます。


虫歯(う蝕)は歯の表面や内部が細菌によって溶かされていく病気であり、わんちゃんやねこちゃんは虫歯になることは滅多にありません。
口の中の細菌はネバネバした唾液中で繁殖することが多く、そのネバネバが歯の表面に付着して歯垢(別名プラーク)を形成します。その歯垢は放置すると2~3日程度で硬い歯石となり、形成された歯石は表面がぼこぼこしているため、よりその表面に歯垢などの汚れが付着しやすくなり、歯石はさらに大きくなっていきます。
歯石はその名の通り石のようなものなので、一度できてしまうと歯ブラシでは除去できなくなってしまいます。歯石を取るためには、全身麻酔をかけて歯科専用の機器を用いて除去する必要があります。
歯周病は放置するとどうなるの?
この病気は進行すると細菌感染により歯根のまわりから骨を溶かしていきます。重度になると細菌により産生された膿が出口を求めてトンネルをつくり、歯肉をはじめとした口腔粘膜に穴をあけてしまう内歯瘻や、目の下や顎の下の皮膚に穴をあけてしまう外歯瘻、鼻と口の間に穴をあけてしまう口腔鼻腔瘻、場合によっては下顎骨の骨折を引き起こすことがあります。さらに、歯垢中の細菌が全身の血液中に流れ、心臓や腎臓、肝臓などの病気を引き起こすこともあります。
・少し歯石がついてるけど大丈夫そうだから待ってみようかな
・揺れている歯があるけどこのまま抜けるまで待ってみようかな
・若いしまだ何もしなくてもいいかな
・歯石取りのためだけに麻酔かけるのはちょっと、、、
そう思われている飼い主様もいらっしゃるのではないでしょうか。しかし、この考え方に実は落とし穴があることもあるのです。
わんちゃんやネコちゃんは、口の隅々までおとなしく見せてくれる子は少ないです。麻酔をかけてチェックをしてみると実は歯の内側の方から歯周病が進行していたり、一番奥の小さな歯から歯周病が進行しているケースも少なくありません。
歯周病の治療が遅れれば遅れるほど病態は進行し、本来守れた歯を失ってしまうことになりかねません。
歯周病の治療
全身麻酔下で蓄積した歯垢(プラーク)と歯石を除去(スケーリング)し、歯面の研磨(ポリッシング)を行い、再度歯垢が付着しにくい状態にします。
プロービングを行い、歯周ポケットの有無を確認した後、歯科専用のレントゲンを用いて歯周組織の状態を確認し、必要に応じて抜歯処置もしくはルートプレーニングやキュレッタージにより保存治療を行います。
歯石取りに全身麻酔は本当に必要なの?
よく聞く無麻酔スケーリングでは、歯肉縁下(歯周ポケット)に蓄積している歯垢や歯石をきれいに取り除くことができず、表面上きれいになるだけなので、残った歯垢や歯石が歯周ポケットをさらに悪化させてしまいます。また、意識下ですので、器具を使用しての処置に苦手意識を植え付けることになり、今後の歯磨きなど口周りのハンドリングを嫌がるようになってしまいます。押さえつけられることで股関節などの関節の脱臼を起こした報告もされています。上記に挙げるさまざまな理由により、日本小動物歯科研究会などの歯科専門団体では、無麻酔での歯石取りは推奨していません。
動物の安全と確実な口腔内の検査治療のために全身麻酔は必要不可欠なのです。
しかし、全身麻酔に対して心配される飼い主様も多くいらっしゃると思います。高齢になるにつれて麻酔のリスクなど不安要素が増えていくのは当然のことです。ただ、歯周病も治療をせず放置をしていると、肝臓や腎臓、心臓などの臓器を弱らせていき、また歯の痛みで食事が食べれなくなってしまうこともあります。そうなってしまったときにいざ麻酔をかけようと思うと、体が麻酔に耐えれない状態になっており、治療ができない…、生涯口の痛みと付き合っていくことになってしまった…、そのような事例も数多くお聞きします。
年齢だけで判断せず獣医師と相談し、体調や持病を考慮したうえで、適切なタイミングで歯周病の治療を行うことをお勧めします。
当院で治療した症例
軽度の症例

処置前

歯科処置後
中程度の症例

処置前

歯科処置後
重度の症例

処置前

歯石除去後

抜歯後
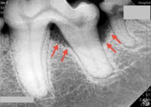
別症例(歯科レントゲンでの比較)

軽度歯周病

中度歯周病

重度歯周病
自宅でできる治療後の口腔内ケア
歯周病は麻酔下での治療で終わりにできるわけではありません。きれいにした口腔内環境を維持していくためには、日々自宅での歯磨きを行う必要があります。
わんちゃんやねこちゃんは歯磨きをしていない状態を3日放置するだけで歯石が付着してしまいます。上記のような状態にもならないためにも毎日の歯磨きを行うことで歯垢や歯石の付着を防ぐように努力しましょう。また、定期的な麻酔下での歯石除去を行うことで、さらに口腔内の衛生状態を清潔に保つことができます。
歯磨きで使用する歯ブラシの種類は、口腔内の状態や動物種によって変わりますので、歯ブラシの選択や歯磨きのやり方はいつでもご相談ください。

また、口腔内ケアお助けアイテムの歯磨きペーストやデンタルガムを使用することで口腔内細菌の増殖を抑制できるのでおすすめです。歯磨きの時においしいペーストを使用したり、歯磨きに慣れるまでの間やご褒美として歯磨きガムを活用してみてはいかがでしょうか。

しかし、歯磨きを様々な理由で行えない飼い主様もいらっしゃると思います。
・うちの子は怒って歯磨きをさせてもらえない…
・仕事上の関係で毎日歯磨きなんてできない…
・つい歯磨きすることを忘れてしまう
上記のような悩みをかかえていませんか?歯磨きの習慣がもともとなく、しつけをしようとしてもできずに断念せざるを得ない。そのような子にはサプリメントや炎症を抑えるジェルなどを使用してみることをお勧めします。その子に一番あったサプリメントやジェルを相談して決めましょう。

毎日の歯磨きやサプリメントなどを使用し、飼い主様もわんちゃんねこちゃんも健康で快適な生活ができるように心がけていきましょう!
ペットの歯周病(口臭・歯石)にお困りの愛知県東郷町の方、名古屋市緑区天白区、日進市、豊明市、みよし市近郊の方は「なぐら動物病院」までお問い合わせください。
獣医師 安部昌平