犬の病気
2025.10.31
犬の尿石症
犬の尿石症とは
腎臓や尿管、膀胱などの泌尿器系の臓器に形成される結石により引き起こされる病気です。その要因としては、犬種や性別、年齢、尿路の解剖学的・機能的異常、尿のpH、尿中のミネラルバランス異常、食事内容や生活習慣など多岐にわたります。
好発犬種としては、ミニチュアシュナウザー、シーズー、ビションフリーゼ、ヨークシャテリアなどが挙げられます。
形成される尿路結石成分で最も多いものはリン酸アンモニウムマグネシウム結石(別名ストラバイト)とシュウ酸カルシウム結石の二つです。ストラバイトに関しては、過度に大きくなければ食事療法により溶解可能であるのに対し、シュウ酸カルシウム結石は内科学的に溶解可能な治療プロトコルが存在しないため、外科手術により取り除かなければならないので厄介な結石です。
犬の尿石症の症状
尿石症の症状は、血尿や頻尿、排尿障害、疼痛を伴う排尿が一般的です。尿管や尿道に結石が完全に詰まってしまうと、腎臓へ影響し腎障害を引き起こすため、嘔吐や食欲不振、元気消失がみられます。排尿できない状態が続くと緊急状態になる可能性もありますので注意が必要な病気です。
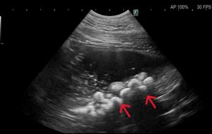
犬の尿石症の診断
基本的な診断法は、X線検査や超音波検査による画像検査を行い、発生している部位、結石の数、その形状を評価し、尿検査により形成されている結石の種類を特定していきます。

超音波検査上の結石

レントゲン上の結石

尿中ストラバイト結晶

尿中シュウ酸カルシウム結晶
犬の尿石症の治療
形成された結石がストラバイトである場合、上記にも記載しましたが基本的な治療は食事療法になります。尿のpHを配慮した食事に変更することで、尿のpHを6.0~6.5に維持し、結石の溶解を促すとともに、これ以上結石が形成されないようにします。また、ストラバイト結石は尿路感染症から始まることも多い為、細菌が検出される場合は抗生剤を使用します。結石が大きい場合は完全に溶解できないこともありますので、外科手術による摘出を考慮することもあります。
シュウ酸カルシウム結石である場合は、食事による溶解が望めないため、外科手術による摘出が一般的です。
尿道閉塞や多量の膀胱結石があると膀胱粘膜の炎症がひどく、粘膜が壊死してしまうこともあります。炎症がひどいと手術の難易度もあがり、術後の回復も遅く、膀胱粘膜の縫合が離開してしまう場合もあります。

正常な膀胱の色調

膀胱炎が重度の膀胱の色調 愛知県 なぐら動物病院
 
 
尿石症の予防
尿石症を予防するには、生活習慣や食事に気を付けることが大切です。
まずは水分をしっかり摂取させるようにしましょう。わんちゃんの一日に摂取すべき水分は、体重1kgあたり50mlが目安と言われています。十分な飲水をさせることによって尿を濃縮されにくくすると同時に、尿量を増やすことで結石が形成されにくくすることができます。
排尿しやすい環境にしておくことも大切です。膀胱内に長時間尿を貯めてしまうのも尿石症のリスクにつながります。なるべくなるべく屋内でも排尿できるようにしつけを行ったり、屋外でしかどうしてもしない子に関しては、なるべく散歩をさせ、排尿を促すようにしましょう。
肥満も尿石症のリスク因子の一つと言われています。日ごろから適度な運動や食事管理により適正体重を維持するようにしましょう。
食事はミネラルやたんぱく質のバランスの整ったご飯を与えましょう。特にトッピング、もしくは間食を行っている子は、結石のリスクがあると言われている高カルシウム食品、高シュウ酸の食品には注意しましょう(下記)。

高シュウ酸食品

高カルシウム食品
尿石症の早期発見・早期治療のためにも、毎年の健康診断(当院ではわんにゃんドック)を行うことをお勧めします。ご希望の方は 愛知県東郷町のなぐら動物病院 までご相談ください。
獣医師 安部昌平
 
         
           
           
           
                     
                     
                     
         
           
           
           
   
   
   
   
         
          