NEWS & COLUMN
お知らせ・コラム
犬の心臓病
犬の心臓病でよくみられる疾患
犬の心疾患でとても多くみられるのは、僧帽弁閉鎖不全症です。僧帽弁は左心房と左心室の間にある弁で、肺から酸素を受け取った血液を全身に送り出す際に血液が逆流しないように止める役割をしています。その弁に隙間ができ、血液が逆流してしまっている状態が僧帽弁閉鎖不全です。主に加齢や遺伝的な要因で発症し、特に小型犬に多く認められます。
犬の心臓病(僧帽弁閉鎖不全症)でみられる症状
症状は、運動不耐性(疲れやすい)、ハアハア息切れする、咳が出るなどですが、初期はほとんど症状がないため、病院での健康診断や聴診などの際に気が付くことが多いです。症状が進行し重度の状態になると呼吸困難となり、食事が取れない、咳がひどくて寝られない、失神して倒れたなどの症状が見られます。
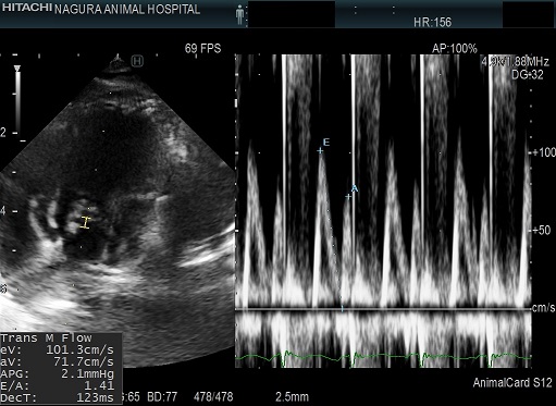
犬の心臓病の診断
僧帽弁閉鎖不全症は米国獣医内科学会(ACVIM)によって病態によるステージ分け(ステージA~D)がされており、そのステージよって推奨されている治療をガイドラインとし、基本的な治療を行っています。また、個々で異なる病態の変化や新しい知見なども出てくるため、それらを総合的に判断して治療を進めていきます。
ステージの分類は、心臓エコー検査、レントゲン検査、血液検査などを行い、総合的に判断します。
初期(ステージB1)は、心雑音があり、軽度に血液が逆流している状態ではありますが、心機能は正常に保たれている状態で、基本的には無治療で経過観察を行います。ただし、進行が早い個体もあるため、定期的に検診に来ていただく必要があります。また、まれに急変することもありますので、日ごろから状態をよく観察し、興奮させない生活をさせることが大切です。
やや進行した僧帽弁閉鎖不全症(ステージB2)は、逆流した血液により、心臓(初期は左心房のみ)が肥大し、投薬が必要となります。この頃になると、疲れやすい、興奮すると咳が出るなどの症状が見られることが多いですが、ほとんど症状がない子も見られます。
さらに進行し、重度の心不全の臨床徴候が見られる状態、もしくは過去に心不全を起こしたことがあるステージCやDに入ると、平常時でも呼吸は荒く、少し動いただけで息切れしたり、すぐに座り込んでしまうような状態となります。この頃になると、心臓はさらに拡大(左心房室ともに)し、肋骨に手を当てると心臓の鼓動が手に触れてわかるほどに大きく拡張してしまっています。
基本的に重症度は心臓エコー検査により判断します。心房の大きさ、左室流出路の血流の速さ、左心室内腔の大きさ、三尖弁逆流や肺高血圧などの有無を確認し、薬の選択をします。お薬の投薬で安定していれば良いですが、発咳や呼吸促拍などがあり落ち着かない状態の場合は、こまめに検査をする必要があります。ただし、検査の際に暴れてしまったり、落ち着いて検査が受けられない子の場合には、検査も負担になりますので簡易的にチェックするのみとなる場合もあります。



犬の心臓病の治療
僧帽弁閉鎖不全症の治療は、内服薬の投薬が主となります。治療薬としては、ACE阻害薬、ピモベンダン、利尿剤、抗アルドステロン薬、β遮断薬、カルシウム拮抗薬、硝酸薬などを組み合わせて治療していきます。
また、急性の心不全を起こし、呼吸が苦しい状態(重度のチアノーゼ)の時は、内服薬の投薬が難しい状態となっていますので、基本的にICU酸素室での入院集中治療となります。状態が悪く、呼吸停止などの状態に陥った場合、気管挿管や人工呼吸器の装着などの救命救急処置を行わなければならない状態となり、命の覚悟が必要な状況となります。症状が落ち着き、慢性期に移行できれば、ご自宅での投薬治療が可能となります。ステージC以上で何回も発作を起こす場合や、いつ発作を起こしてもおかしくない状態の場合には、外科治療というのも選択肢の一つになるでしょう。
いずれにしましても、心臓病の初期はほとんどが症状を示さないため、定期的に動物病院で診察を受けることが大切となります。
なぐら動物病院 獣医師 名倉美智子